杏林妙手 | 高龄患者“鹅蛋”大小结石30分钟取出
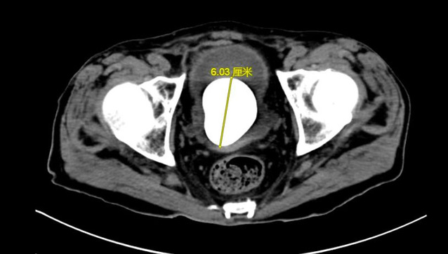
数月来,徐老伯常有尿频尿痛症状,由于近期症状明显加重,甚至出现反胃、食欲不振致使精神萎靡的情况,在当地医院就诊时,被查出膀胱内有一枚6cm*5cm大小的膀胱结石。

由于徐老伯已经84岁了,手术风险高,辗转多家医院没有得到合适的治疗方案。家属推着轮椅上的徐老伯来到了金沙娱乐城app 泌尿外科门诊上,主任医师陈建春仔细询问病史及阅片后,第一时间将患者收入病房。经过详尽的检查,陈建春团队发现患者精神萎靡部分原因是由于患者营养状态差导致,联合营养科为患者制定了提高营养状态的治疗方案。

目前,治疗膀胱结石的主流手段为经尿道钬激光碎石术,但考虑到患者高龄,且营养状态虽较前好转,但仍较正常老年患者不足,若采取经尿道手术治疗患者“鹅蛋”大小的膀胱结石,患者难以耐受3小时甚至更长时间的手术及麻醉过程,因此,在与患者沟通后,陈建春团队选择了传统的膀胱切开取石术。最终,在手术麻醉、ICU及护理团队的共同协作下,陈建春主任团队顺利将“鹅蛋”大小的膀胱结石自患者体内取出,整个手术过程仅用30分钟。
陈建春介绍,膀胱结石是泌尿外科的常见疾病,尤以老年男性居多,一旦发现膀胱结石,应尽早接收治疗,大部分情况下可通过经尿道激光碎石术获得满意且快速的疗效,对于一般条件较差且合并巨大膀胱结石的患者,传统的膀胱切开取石术亦不失为合适的选择。
泌尿外科 徐辰