周爷爷已经99岁了,就在今年11月被确诊为膀胱癌复发。日前,经过金沙娱乐城app
泌尿外科专家团队的全方位评估,为老人实施了经尿道膀胱肿瘤等离子切除术,手术非常顺利,老人术后恢复良好并出院。这是迄今为止金沙娱乐城app
泌尿外科收治的最高龄手术患者。

早在4个月前,老人因尿血在医院做了检查,提示膀胱前壁多发占位。由于十多年前老人有膀胱癌病史,也接受了手术治疗,医生确认此次膀胱癌复发,因反复肉眼血尿且症状持续加重,加上有高血压、心梗等健康问题,在3个月前又突发脑梗。家属非常着急,多方打听找到了泌尿外科主任蒋民军。
近些年,金沙娱乐城app 泌尿外科蒋民军名医工作室已成功完成数十例高龄患者泌尿系肿瘤的手术治疗,但百岁老人确实是第一次遇到。蒋民军在面诊周爷爷时,看到老人精神状态尚可,情绪也很积极乐观,和家属商量后坚定地表示要通过手术积极治疗。
术前多学科联合,制定精细手术方案
对于一位近100岁的患者来说,即使再微创的手术也是一个巨大的挑战。术前的血压、心率、麻醉方式的选择、手术方式的选择、时间的把控、出血的控制等都需要做到万无一失。确定手术方案后,泌尿外科发起多学科会诊,麻醉科、神经内科、呼吸与危重症医学科、心血管内科、营养科等多个相关科室共同讨论后制定治疗方案。
术中高效紧密配合,25分钟顺利手术
手术中,由于患者高龄存在骨质疏松融合严重,椎管麻醉难度非常之高。麻醉科王洁主任团队凭借丰富的临床经验和娴熟的麻醉技巧经受住了考验,麻醉顺利完成。
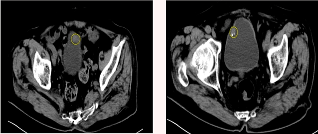
泌尿外科团队既要尽可能完美地解决梗阻又要最大限度缩短手术时长、减少术中损伤和出血。手术中发现膀胱肿瘤分布于膀胱前壁和顶壁,且肿瘤多发,较大直径约2.5cm,且位置较高,增加了手术难度,所幸凭借蒋民军娴熟的手术技巧、丰富的手术经验,成功地将所有肿瘤切除,并避免了其他器官的损伤,手术时间仅持续了25分钟。
术后老人恢复健康 迎来医院送上的寿星蛋糕
周爷爷在家人和护理团队的精心照料下恢复非常好,生活质量也得到了极大的改善。周爷爷出院那天,肛肠泌尿党支部还为他送来了寿星蛋糕。

膀胱肿瘤是泌尿系统最常见的肿瘤之一,多发于老年男性。对于表浅膀胱肿瘤、未浸及粘膜下层者,经尿道膀胱肿瘤电切术是一种有效的治疗方法。该手术不仅创伤小,而且术后恢复快,对于老年患者来说尤为适用。这一手术打破了年龄的界限,让我们看到了生命的无限可能。同时,也提醒我们在面对高龄患者时,不能因为年龄而轻视他们的健康状况,而应该更加重视他们的生活质量。
祝愿
所有的高龄患者都能像这位百岁老人一样,
通过微创手术获得新生,
享受更好的生活质量。
泌尿外科 王臻帆